Warthin-starry 银染色采用酸性硝酸银,可以显示螺旋体、幽门螺旋杆菌" />
欢迎访问VKGAME到底靠谱吗?说说我的亲身经历和避坑指南,!

warthin一starry染色

医学实验主要包括分子生物学、细胞生物学、病理学、免疫学的实验;SCI论文主要包括论文翻译、母语润色改写;专利主要包括发明专利、实用新型专利、外观设计专利的申请;专著主要包括单篇学术论文、系列学术论文和学术专著的出版。

warthin一starry染色 当前位置:首页 > VKGAME到底靠谱吗?说说我的亲身经历和避坑指南, > 医学实验 > 病理学 > 特殊染色

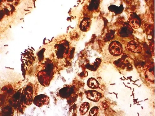
Warthin-Starry银染色是Warthin和Starry在1920年用于显示螺旋体的染色法,其染色原理在于螺旋体表面的黏蛋白与银结合,呈黑色。
Warthin-starry 银染色采用酸性硝酸银,可以显示螺旋体、幽门螺旋杆菌

warthin一starry染色

       Warthin-Starry银染色是Warthin和Starry在1920年用于显示螺旋体的染色法,其染色原理在于螺旋体表面的黏蛋白与银结合,呈黑色。
       Warthin-starry 银染色采用酸性硝酸银,可以显示螺旋体、幽门螺旋杆菌、猫抓病球杆菌、鼻硬结杆菌、真菌、神经纤维、黑色素颗粒等。
       Leagene推荐采用亚甲蓝法不佳的情况下,采用Warthin-Starry 银染色法对慢性胃炎和消化性溃疡的诊断和治疗效果的判断,作为鉴别幽门螺旋杆菌的染色方法。
上一篇:甲苯胺蓝染色
下一篇:苏丹染色
热门推荐
>
<